梵谷口腔小教室
全瓷冠的優點為何?

做假牙的目的為何?

口腔膺復中經常應用的膺復體,用以恢復正常的牙體形態、美觀、缺牙後的修復以及根管治療後保護剩餘牙齒組織等作用

恢復理想的口腔環境,才能得到良好的咀嚼功能。

近年很常聽到全瓷冠前牙美學
到底這些是什麼?

全瓷冠-是覆蓋全不牙冠表面且不含金屬內冠的瓷修復體。

內冠不再使用金屬,而是採用與牙齒顏色相近的高強度瓷材料,因此相較於金屬基底燒瓷修復體更美觀,半透明度與自然牙相近,修復後牙齦邊緣表現更加自然,可達到高仿真、擬真,且對周邊組織無刺激。

以下為全瓷冠的優點。

硬度

密度和強度高

金屬和瓷的結合是燒瓷牙中比較薄弱的一個環節。經常可見瓷和金屬在長久磨耗下崩裂,露出灰黑色的金屬。
而全瓷牙責室內外冠都是瓷製,不會有崩裂的情況。強度則高達1200MPa,比自身的牙齒硬度還高2-3倍

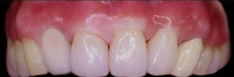
治療前
治療後

健康度

維護牙齒健康

部分燒瓷牙的金屬,對牙齦有較嚴重的刺激,部分人(尤其是女性)會對金屬過敏,造成牙齦腫脹、出血,甚至有患者對貴金屬也過敏。

全瓷牙則基本沒有發現敏感病例。

治療前
治療後

美觀度

沒有牙齦黑線問題

普通烤瓷牙的金屬內冠在口腔內氧化而形成灰色氧化物,沉積到牙齦邊緣,引起金屬游離變色,影響牙齒美觀。

全瓷牙的全瓷內冠則沒有這種困擾。

治療前
治療後

外型透明宛如自然牙

此特點是普通燒瓷牙很難達到的效果,因燒瓷牙金屬內冠不透明,需用遮蓋金屬基底,影響修復體的透明度。使得假牙完成後有稍微明顯得不自然感,在齒頸部更有金屬基底造成的 黑線 影響美觀。

全瓷牙有良好的透明性,且高強度的內冠解決了這一缺點,使牙頸部也能達到美觀效果。

治療前
治療後

耐久度

不會造成磨損

對於一些咬合緊,後牙空間不足的患者,氧化鋯假牙是一個不錯的選擇。如果擔心會對牙齒造成過度摩耗,則可不必擔心。

氧化鋯的磨耗性能取決於裱面的光滑度,而非硬度。因此,氧化鋯經拋光或上釉後,並不會造成牙齒的過度磨耗。

治療前
治療後